The secret to a beautiful smile begins here
Beautiful Smiles Right Here in St. Louis, MO
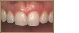
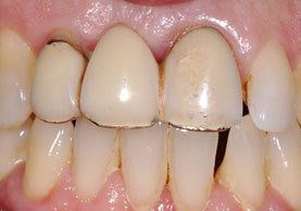
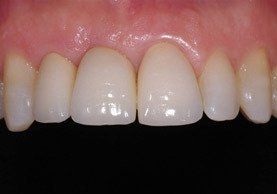
Dr. Howard has been providing exceptional cosmetic dentistry, dental implants, Invisalign clear braces, general dentistry, and so much more. Everyone wants to be confident in their smile, but sometimes circumstances like trauma, wear, or malalignment get in the way. Our St. Louis, MO dentistry practice offers cosmetic dentistry and general dentistry services that can get you there. We will work with you tirelessly to give you the smile you want and deserve. As we say, the secret to a beautiful smile starts here! The quality of your smile doesn't only affect your confidence, it can also affect your health in general. Our bodies are made up of interesting, complex systems. What affects one part of our body affects other parts as well. If you have poor oral health, you are also increasing your risk for other health issues like heart disease and stroke. As we age, we are already at an increased risk for these diseases so why add to it? Just like it is never too late to eat better and exercise. It is never too late to work on your oral health. Here you can see some examples of our St. Louis, MO dentistry patients with restored, beautiful smiles. Whether it’s getting your teeth whitened or other cosmetic procedures, we can help! Why delay looking and feeling your best any longer? Look through our gallery to see how Dr. Howard has helped other patients achieve the smile they have always wanted, and how he can help and guide you through your own unique dental needs.










